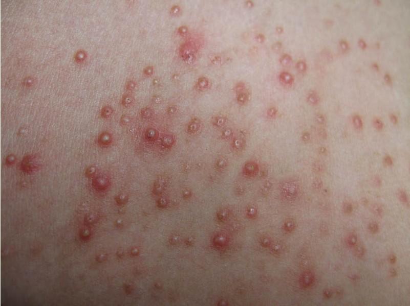
皮炎是一种常见的皮肤疾病,其症状主要包括发痒、红肿、糜烂、破溃和渗液等。皮炎的治疗方法有很多,但 关键的是找到导致皮炎的原因,并采取相应的预防措施。
首先,我们需要了解皮炎的症状。皮炎症状的轻重程度和范围因人而异,但常见的症状包括皮肤发痒、疼痛、红肿等。有些人还可能出现皮肤干燥、起皮和糜烂的情况,严重时可能导致皮肤破溃和渗液。不同类型的皮炎症状可能会有所不同,例如湿疹、接触性皮炎和脂溢性皮炎等。
<<<在线咨询
针对皮炎,我们可以采取以下预防措施来减少发病风险。首先,保持皮肤的适度清洁,使用温和的沐浴露进行清洁,不频繁使用肥皂,避免用力搓洗皮肤。其次,在冬季或干燥气候下,要保持皮肤的湿润,涂抹适量的保湿乳液或者使用保湿喷雾。此外,避免接触过敏原,如有对某种食物或者药物过敏的现象,应避免食用或严格按照医嘱进行用药。还应注意避免接触化学品、毒性植物或者其他可能刺激皮肤的物质。此外,穿着透气性好、棉质或天然纤维的衣物,避免穿着紧身衣物或者粗糙的布料。
在治疗方面,皮炎的治疗方法需要根据具体情况进行选择。对于轻度的炎症,可以采用外用药物治疗,如外用激素药膏、抗过敏药膏等。这些药物能够减轻症状,缓解炎症,并刺激皮肤的治好功能。然而,长期使用激素药物可能会导致皮肤变薄和色素沉着等副作用,因此应根据医生的建议使用,并不宜长期大面积使用。
对于严重的皮炎症状,如破溃、渗液和感染等情况,可能需要口服抗过敏药物或者抗生素来进行治疗。这些药物可以有效控制炎症和感染,促进皮肤的恢复和恢复。
总之,对于皮炎的治疗,首先要找出导致皮炎的原因,并采取相应的预防措施。在症状轻微的情况下,可以尝试使用外用药物进行治疗,但要注意控制用药频次和剂量。对于严重的症状,需要咨询医生并根据医生的指导进行治疗。此外,保持良好的生活习惯,如保持适度的运动、饮食均衡等,也有助于预防皮炎的发生。如果症状没有得到明显缓解,应及时就医寻求医生的帮助和指导。